67 Kaspar Hauser Syndrom Hund 2021 (Photos)

4k Wallpapers and HD.

Kaspar Hauser Syndrom Hund. Das Kaspar-Hauser-Syndrom, auch Deprivation genannt, bildet die schlimmste Form einer Krankheit, die Hospitalismus genannt wird und die Formen der körperlichen, geistigen und auch seelischen Schäden beschreibt, die auftreten, wenn Kinder ohne Eltern bzw. andere Bezugspersonen. Zwei Briefe, die Kaspar Hauser bei sich hatte, geben Anhaltspunkte zu Namen, Alter und der Umgebung, in der er aufwuchs.

The Werner Herzog Collection (UK Blu-Ray Review) - Diabolique Magazine
The Werner Herzog Collection (UK Blu-Ray Review) - Diabolique Magazine (Mollie Hampton)
All about the movies: trailers, photos, screenshots, screencaps, wallpapers, comments, movies rating. kaspar-hauser-syndrom. Zu dem Artikel „Kaspar Hauser und sein Schlüssel", von Dr. med. Doch stellte sich heraus, dass die beiden Briefe seine Herkunftsspur.

Viele halten ihn bis heute für den legitimen Erben der badischen Großherzöge.

Kaspar Hauser: sein Wesen, seine Unschuld, seine Erduldungen und sein Ursprung.

Kaspar M Fleischmann / Images The Photographs of Peter Gasser 1st Edition 1984 | eBay

Hammer bad kreuznach planig

Jardin7

(2006)Endocrine Pituitary Gland

Das Kasper - Hauser - Syndrom - oder: wie sich der Kreis endlich schloss | Silvester mit hund ...

(2006)Endocrine Pituitary Gland

A-kima – die „Ungewollte“ - oder: Kristalle im Geröllfeld, man wächst mit seinen Aufgaben

Goodleg Toys

Goodleg Toys

TEACHER SOL: Minnesota man with Down syndrome sets Guinness World Record

Pituitary gland

dominik hauser download

Watch Human Nature (2001) Full Movie Online Free | Ultra HD - Movie & TV Show

dominik hauser download

Goodleg Toys

The Kaspar Hauser Syndrome of 'Psychosocial Dwarfism'

TEACHER SOL: Classroom Environment Special Education

(2006)Endocrine Pituitary Gland

The Story of Kaspar Hauser from Authentic Records by Evans: New 9780344012259 | eBay

The Werner Herzog Collection (UK Blu-Ray Review) - Diabolique Magazine

20 Der Besten Ideen Für Kaspar Hauser Syndrom - Beste Wohnkultur, Bastelideen, Coloring und ...

(2006)Endocrine Pituitary Gland

[PDF Download] Flight of the Dancing Bird: One Woman's True Story of Slavery and Survival [PDF ...

Kaspar Hauser: the original 'Forest Boy' | World news | The Guardian

CNS Newsletter: The Kaspar-Hauser Syndrome - What Child Neglect Tells Us About Nature and Nurture

N.A. Bodensee: Der Staat befiehlt...

Die Welpen sind 31 Tage alt – Schüpfer Hexe

Mythos und Misshandlung/Ulrich Struve über Kaspar Hauser – literaturcafe.de

Das Kasper - Hauser - Syndrom - oder: wie sich der Kreis endlich schloss | miDoggy Community ...

Das Kind aus dem Kerker | Sächsische.de

RISK IN INTELLECTUAL AND PSYCHOSOCIAL DEVELOPMENT - McKinney, James 1st Edition | eBay

Kaspar Hauser Syndrome – Scary Carrie's

(2006)Endocrine Pituitary Gland

Buchverlag

20 Der Besten Ideen Für Kaspar Hauser Syndrom - Beste Wohnkultur, Bastelideen, Coloring und ...

(2006)Endocrine Pituitary Gland

TEACHER SOL: When diagnosing Down syndrome, obstetricians focus on negative

Mystisk pojke gör intåg på Moomsteatern - Sydsvenskan

28 best Peliculas TEA images on Pinterest | Asperger syndrome, Books and Asperger

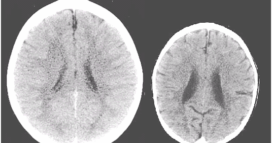
Kaspar hauser syndrome | Hyperphagic short stature: A case report and review of literature

Geometry.Net - Health Conditions Books: Dwarfism

Katharina Seutemann Comparative Grammar with Videos - YouTube

The Kaspar Hauser Syndrome of 'Psychosocial Dwarfism'

Goodleg Toys

Goodleg Toys

Kaspar Hauser syndrome - YouTube

Endocrinology

Endocrinology

CNS Newsletter: The Kaspar-Hauser Syndrome - What Child Neglect Tells Us About Nature and Nurture

20 Der Besten Ideen Für Kaspar Hauser Syndrom - Beste Wohnkultur, Bastelideen, Coloring und ...

TEACHER SOL: Actresses with Down syndrome honored by disability-advocacy group

The Kaspar Hauser Syndrome of 'Psychosocial Dwarfism'

20 Der Besten Ideen Für Kaspar Hauser Syndrom - Beste Wohnkultur, Bastelideen, Coloring und ...

N.A. Bodensee: Der Staat befiehlt...

Mythos und Misshandlung/Ulrich Struve über Kaspar Hauser – literaturcafe.de

The Best Books on Autism and Asperger's Syndrome | Five Books

meine Person - Tierheilpraxis für ganzheitliche Therapie

This Poor Kid Spent His Entire Childhood Locked Inside An Empty Room – But The Story Gets Even ...

THE KASPAR HAUSER SYNDROME OF PSYCHOSOCIAL DWARFISM | John Money | First Edition; First Printing

Kaspar-Hauser-Syndrom | apotheken-wissen.de

Doch stellte sich heraus, dass die beiden Briefe seine Herkunftsspur. Your current browser isn't compatible with SoundCloud. Das Kaspar-Hauser-Syndrom wird durch eine andauernde Vernachlässigung, mangelnde Pflege und Liebesentzug im frühen Kindesalter verursacht.